
WHO calls emergency meeting as Europe confirms 100 monkeypox cases | What we know so far
India Today
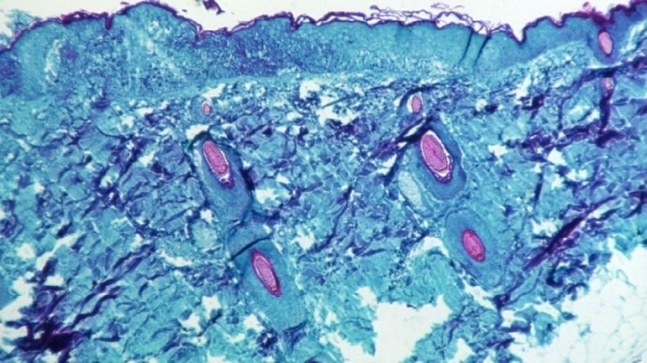
The WHO held an emergency meeting on Friday to discuss the recent outbreak of monkeypox after over 100 cases were confirmed or suspected in Europe.
The World Health Organisation (WHO) held an emergency meeting on Friday to discuss the recent outbreak of monkeypox, a viral infection more common to west and central Africa, after over 100 cases were confirmed or suspected in Europe.
The WHO committee meeting to discuss the issue is the Strategic and Technical Advisory Group on Infectious Hazards with Pandemic and Epidemic Potential (STAG-IH), which advises on infection risks that could pose a global health threat. It would not be responsible for deciding whether the outbreak should be declared a public health emergency of international concern, WHO's highest form of alert, which is currently applied to the Covid-19 pandemic.
ALSO READ: Spain confirms 7 monkeypox cases as European outbreak grows
Here's what we know so far about Monkeypox:
- The first European case was confirmed on May 7 in an individual who returned to England from Nigeria.
- Since then, over 100 cases have been confirmed outside Africa, according to a tracker by a University of Oxford academic.
- Portugal detected nine more cases on Friday, taking its total to 23.

Speaking at the White House, Trump said the United States was in contact with "the right people" in Iran and suggested that Tehran was eager to reach an agreement to halt hostilities. "We're in negotiations right now," he told reporters, without offering further details on the scope or format of the talks.












