
Coins, chemicals and more: doctors urge vigilance amid rise in accidental ingestions among kids during summer vacations Premium
The Hindu
Unintentional poisoning is a global public health issue, with children at high risk, requiring awareness and prevention measures.
In India, poisoning rates are among the highest in the world. Childhood poisoning range from 0.33–7.6%, most commonly observed among children in the age group of 1–5 years.
According to the World Health Organization (WHO), unintentional poisoning is a significant global public health problem. WHO estimates that unintentional poisoning accounts for a significant portion of emergency hospital visits in many countries.
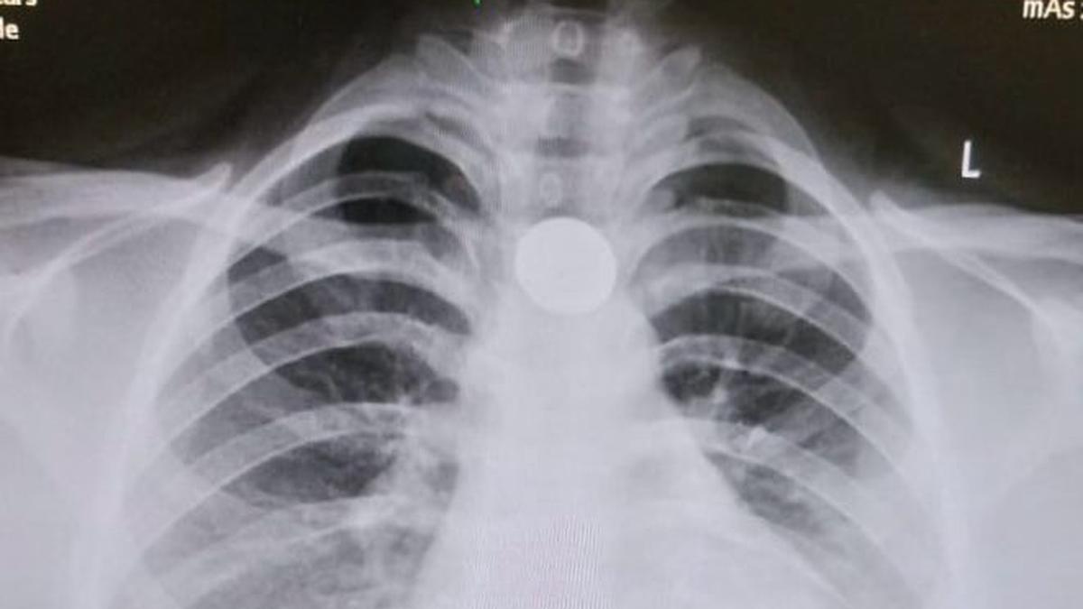
Dhanasekhar Kesavelu, consultant paediatrician and paediatric gastroenterologist, Apollo Children’s Hospitals, Chennai, classifies ingestions into solids and liquids. Solid objects include Lego pieces, pins, coins, plastic parts, locks, and keys-- typically swallowed out of curiosity. If such items reach the stomach and are smooth, they may pass naturally. But if they get stuck in the oesophagus, the child may experience dysphagia or difficulty swallowing, sometimes clutching their chest.
“Some items need urgent removal, especially button batteries, which can burn through tissue rapidly due to electric discharge. Coins stuck in the oesophagus also require removal if they cause symptoms,” says Dr. Kesavelu , citing the 2023 ESPGHAN guidelines (European Society for Paediatric Gastroenterology Hepatology and Nutrition), which outline detailed protocols for ingestion emergencies.
Dr. Kesavelu points out that liquid ingestions are often more dangerous than solids, especially when they involve corrosive substances like acids, alkalis, or battery fluids. “These liquids can cause severe internal burns in the food pipe or, in some cases, even the respiratory tract if aspirated,” he explains. One crucial rule, he stresses, is never to induce vomiting if a child has ingested something corrosive. “Vomiting brings the chemical back up through the oesophagus, essentially doubling the damage.”
Summer holidays bring with them a notable rise in paediatric emergencies, particularly accidental ingestion cases.
Swati Bhayana, consultant, paediatric hematology and oncology, Fortis Healthcare, Gurgaon, observes that such incidents increase significantly during these months. With children, especially toddlers and those under seven, spending more time at home, their natural curiosity leads them to explore their surroundings freely. “They are still learning what’s safe and unsafe,” she explains, adding that the combination of boredom, heat-induced dehydration, and a lack of close supervision often results in children picking up small objects or sipping from containers without understanding the risks.













